We deliver cuting-edge imaging solutions for both medical and veterinary applications, trusted by medical facilities and X-ray manufacturers worldwide. With over 15 years of innovation, we ensure superior performance and reliability through strategic partnerships.Backed by a global network of 500+ OEM partners and distributors,we provide advanced diagnostic and surgical imaging solutions, tailored to meet the needs of medical imaging specialists and veterinarians alike
Whole Body Tomographic System
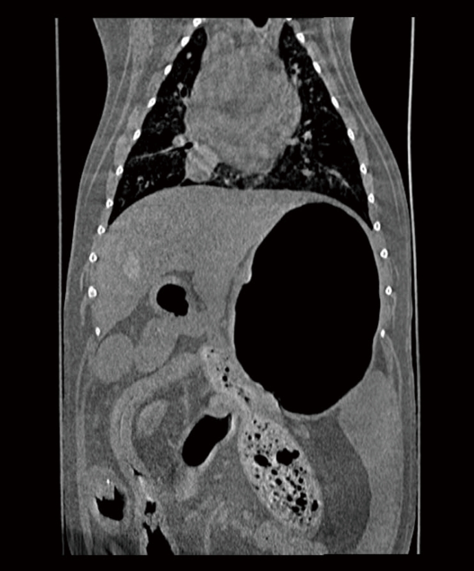
VersaCT™ BDR-85 Mobile Hybrid CT(4-in-1,RAD/FLO/CT/C-ARM) CT system leverages a
medical-grade reconstruction algorithm to produce high-quality 2D and 3D tomographic images by
processing X-ray projection data captured from multiple angles around the patient. Designed for
both medical and veterinary applications, it ensures precision and reliability in diagnostics.
Computed Tomography
As in small animals, CT images of the equine limb are far superior to radiographs in their ability to detect and localize both bony and soti tissue lesions.
VividDR™ BDR-38 nano Mobile DR System
BDR-38 nano | Compact Mobile X-ray Imaging
A lightweight, highly maneuverable mobile DR system designed for versatile clinical settings—from emergency rooms to bedside care.
Core Advantages:
- Ultra-portable design with four-wheel casters for easy movement, minimizing downtime between exams.
- IPX6 waterproof DR cassette and flat surfaces enable hassle-free cleaning, supporting infection control.
- Patient-centric low radiation exposure, ideal for neonates and infants.
- Quick image viewing to accelerate diagnostic workflows and treatment decisions.
Clinical Applications:→ Bedside imaging (ICU/ward) → Emergency trauma → Pediatrics → Outpatient clinics
VividFluoro™ BDR-58 Motorised Universal X-ray System
All-in-One Universal Imaging Solution
A motorized, space-saving X-ray system with bucky table and wall stand—supporting comprehensive patient positioning.
Core Advantages:
- Compact footprint (min. 4.50x2.60x2.60m) without compromising full functionality, perfect for small radiology departments.
- Intuitive 10" touch screen and DICOM PACS® dx-r software for simplified operation and fast image acquisition (6-8 seconds).
- Height-adjustable floating table with high load capacity, accommodating all patient sizes.
- Auto-tracking function and anatomical programming (APR) for precise, efficient positioning.
Clinical Applications:→ Standing/sitting/lying position exams → Skull/thorax/pelvis imaging → Skeletal/extremity diagnostics
VersaCT™BDR-88 CBCT System
Ultra-High Resolution Volumetric Imaging
A advanced CBCT system with patient-friendly lying-down positioning, delivering superior 2D/3D diagnostic quality.
Core Advantages:
- Ultra-high resolution images with up to 10x lower radiation than traditional CT, enhanced by uSafe™ technology.
- Wide FOV range (6x6cm to 21x19cm) for versatile applications across dentistry, orthopedics, ENT, and maxillofacial surgery.
- Open gantry and motor-driven table ensure easy access for sedated or trauma patients.
- Medical Suite software for intuitive image processing, treatment planning, and 360° volume scanning.
Clinical Applications:→ Maxillofacial surgery planning → Orthopedic extremity imaging → ENT diagnostics → Dental implant planning
VividFluoro™ BDR-58S Motorised U-arm X-ray System
Flexible U-arm Imaging for Versatile Care
A motorized U-arm X-ray system designed for high mobility and precise imaging in diverse clinical scenarios.
Core Advantages:
- Motorized U-arm movement enables flexible positioning, adapting to bedside, operating room, and clinic settings.
- Low radiation exposure for patient safety, paired with high-quality CSI scintillator detectors for sharp images.
- Intuitive control interface and wireless foot switch for hands-free operation, enhancing workflow efficiency.
- Compact design for easy maneuverability in confined spaces, without sacrificing imaging performance.
Clinical Applications:→ Operating room imaging → Bedside exams (ICU/ward) → Orthopedic trauma → General radiography
VividDR™ BDR-38 Xair Mobile DR System
VividDR™ BDR-38 Xair | High-Performance Mobile Imaging
- Portable design with robust construction, balancing mobility and durability for daily clinical use.
- Rapid image acquisition and processing, enabling quick diagnostic evaluations and treatment decisions.
- User-friendly operation with intuitive controls, reducing training time for radiology staff.
- Compatible with standard imaging workflows, supporting seamless integration with existing PACS systems.
Clinical Applications:→ Emergency department imaging → Ambulatory care → Nursing home visits → Hospital ward rounds
The VersaCT™ BDR-85 (4-in-1,RAD/FLO/CT/C-ARM)redefines veterinary imaging with innovative spiral linear technology. Its linear detector captures thin image slices across a wide field of view as the X-ray tube rotates around the advancing table.Key features include:
Large bore:
Accommodates medium to large dogs.
Elevating table:
Ensures precise animal positioning at the bore’s center for optimal image quality.
Stationary or Portable X-ray. We've got you!
Veterinary Digital Imaging
Our Wireless detectors give you the freedom, speed and accuracy that you need for diagnosis in the X-ray room and beyond. Thin, lightweight and durable, our wireless detectors offer true portability and flexibility.
VividFluoro™ BDR-55 Fluoroscopy(Dynamic DR)
VividFluoro™ BDR-55 Fluoroscopy X-ray system delivers high-resolution imaging, efficient performance, and user-centric features, tailored for veterinary applications.
High-Quality Imaging:
- 17×17" Iray Dynamic Panel Detector with ≥65% DQE and 3.6 LP/MM spatial
- 0.6/1.2mm focus spot Canon E7239 X-ray tube ensures precision.
- Powerful Performance: Equipped with a 32kW PSG High-Frequency
- User-Friendly Design: Large floating table (1510×635mm) for easy patient positioning.
- ClearView Duo VET Software with a touchscreen PC for intuitive control.
VividDR™ BDR-35 1.6KW True Portable DR
The Mobile DR combines portability, precision, and advanced imaging capabilities,
- Weighs only 8kg with a compact size of 313 x 237 x 187mm, ideal for mobile use.
- 0.8mm focus spot and 20° anode angle for sharp imaging.
- 1.6kW output, powered by a built-in lithium battery with 2-hour quick charge.
- Ultrasonic ranging ensures precise positioning.
- Features Bluetooth and RS232 communication for seamless integration with devices.
VividDR™ BDR-5 Veterinary IntraOral X-Ray
The BDR-5 Vet intraoral imaging system, paired with the BDR-1 intraoral sensor,
is the ultimate veterinary dental imaging solution. It provides superior image
quality for precise diagnostics, implant surgery, and endodontic treatments,
ensuring advanced intraoral radiography and higher diagnostic value.
BAM-7 Ultra
MRI Veterinary Anesthesia Machine